Cabinet d'orthodontie du Docteur
GUINDON-LEPINE
Orthodontiste à Saint Sébastien sur Loire (près de Nantes)
Accueil
Plan d'accès
Urgences
Vidéos
Fiches Conseils
Questionnaire pré-RDV
Prendre RDV
Cabinet d'orthodontie du Docteur
GUINDON-LEPINE
2 bis rue de la Croix Bine
44230
Saint Sébastien sur Loire
+33 2 85 52 15 44
Orthodontiste à Saint Sébastien sur Loire (près de Nantes)
Accueil
Plan d'accès
Urgences
Vidéos
Fiches Conseils
Questionnaire pré-RDV
Prendre RDV
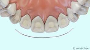
Fil de contention
Vidéos 3D
Partager
Twitter
Partager
Partager
Envoyer
Copier
Cabinet d'orthodontie du Docteur GUINDON-LEPINE
2 bis rue de la Croix Bine
44230
Saint Sébastien sur Loire
+33 2 85 52 15 44
En savoir +
Politique de confidentialité et charte cookie
Mentions légales
Conditions Générales Utilisation
Charte déontologique
Ordre national
Annuaires chirurgiens dentistes
Nous travaillons avec :
Orthospé
Honoraires
Horaires
Lundi
9h - 12h
,
14h - 18h30
Mardi
14h - 18h50
Mercredi
9h - 12h
,
14h - 18h30
Jeudi
Fermé
Vendredi
9h - 12h
,
14h - 18h30
Samedi
Fermé
Dimanche
Fermé
Création par
Connexion